단 한 사람을 위한 맞춤 리프팅으로
더 자연스럽고 더 탄력있게
피부 탄력을 증대시키고 주름을 개선하는 리프팅.
하지만 무조건 당기기만 한다면 부자연스러워 보일 수 있습니다.
오랜 임상 경험을 통한 노하우를 바탕으로 개인마다 다른 피부를
고려한 진단과 맞춤 시술을 진행하여 자연스럽고 탄력있는
피부를 완성합니다.
실리프팅 종류
-
민트리프팅
360° 3D 입체돌기로 오랜 지속력 보장!특허 받은 몰딩 방식으로 360° 회오리 구조의 3D 돌기가 피부 조직을 전방위로 고정해 강력한 리프팅 효과를 보입니다. 실의 두께가 일정하고 밀도가 높아 잘 끊어지지 않으며, 시술 후 인체 내에서 분해되어 안심할 수 있습니다.
-
테스리프팅
3D mesh를 통한 강력한 리프팅 효과!360º 방향의 강하고 부드러운 돌기와 3차원 입체 구조로 된 메쉬가 결합된 구조입니다. 돌기로 인한 초기 고정 이후 메쉬 내 조직 유착이 급속히 진행되어 더욱 강력하고 자연스러운 결과를 기대할 수 있습니다.
-
실루엣소프트
볼륨과 리프팅을 함께!체내에서 분해되는 PLA성분의 의료용 실과 특허 받은 Cone 모양의 돌기를 이용한 비수술적 방법입니다. 탄력을 잃고 처진 피부층을 재구성해 즉각적인 리프팅 효과와 함께 꺼진 부위를 채워 볼륨 효과를 선사하며, 색소가 없는 투명한 제품으로 안심할 수 있습니다.
-
콘셀티나
강력한 리프팅과 뛰어난 지속력양방향의 창살모양으로 코그를 찍어내어 만든 프레스코그 실을 이용해 피부 밑조직과 실의 밀착성을 업그레이드한 리프팅 방법입니다. 견고하게 피부를 잡아 당겨주고 두껍고 강한 실로 인해 강력한 리프팅과 뛰어난 지속력을 기대할 수 있습니다.
-
캐번
강력한 탄성력으로 콜라겐 생성도 함께빈틈없는 스프링 형태의 녹는 실을 삽입하여 리프팅, 주름 개선, 꺼진 부위를 채워주는 시술입니다. 실이 삽입된 부위에 6배 이상의 콜라겐이 생성되어 볼륨과 탄력 증진에 효과적입니다. 강력한 탄성력으로 끊어질 염려가 적으며 고정력이 뛰어납니다.
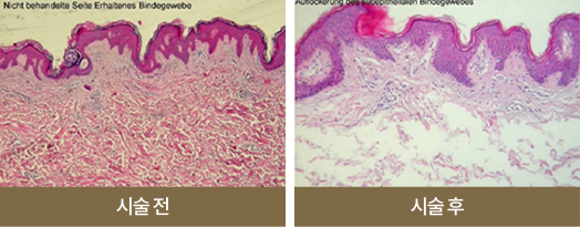
울쎄라
고강도 초점식 초음파 에너지가 근막층까지 도달하여
중력 반대 방향으로 피부를 서서히 당겨 주는 방법입니다.
시술 부위를 초음파 영상으로 확인 가능하여 보다 정밀한 시술이 가능합니다.
인모드
고주파 에너지를 고전압 전기자극으로 근막층까지 전달하여
불필요한 지방 세포는 사멸하고 표피층과 진피층의 콜라겐 생성,
엘라스틴 촉진을 돕는 기기입니다.
-
MINI FX핵심기술 HVP로 지방세포에 구멍을 내어
2~4주 내 지방세포 사멸 효과 이중턱, 처진 볼살 개선 -
FORMA멀티 RF레이저가 콜라겐, 엘라스틴, 히알루론산 생성
콜라겐 리모델링을 유도. 탄력적인 라인으로 개선
LDM
고밀도 초음파 에너지를 이용하여 콜라겐 자극과 섬유 조직의 타이트닝
동시에 유도하여 주름을 개선하고 피부 탄력을 증가시킵니다.
클라리티
단계별로 피부 속에 접근하는 콰드로&이너 리프트를 통한
타이트닝 효과로 넓은 모공과 처진 피부, 주름 등을 개선할 수 있습니다.
포텐자
피부 진피층에 마이크로 니들을 삽입하여 고주파 에너지를 흘려보내
표피의 손상은 줄이고 콜라겐 재생을 촉진하여
잔주름, 피부 탄력을 개선합니다.
-
STEP 01
피부와 접촉
-
STEP 02
피부와 접촉
-
STEP 03
피부와 접촉
Cinema Lifting
시네마 리프팅
나이가 들수록 피부는 늘어지고,
근육은 약화됩니다.
또한, 얕게 혹은 깊게 분포되어 있는
지방이 중력 방향으로 이동하게 됩니다.
리프팅은 이동된 지방을 줄여주거나 원래의 위치 또는 필요한 방향으로 이동시킴과 동시에
약해지고 늘어진 피부와 근육의 장력을 강화시키는 복합적이고 입체적인 시술입니다.
그렇기에 해부학적인 지식과, 노화의 과정, 재료 및 장비의 특성을 통합적으로 정확히
이해하는 의사에게 시술 받는 것이 중요합니다.
시네마클리닉은 이러한 지식과
숙련된 술기를 바탕으로 드라마틱하면서도 자연스러운 리프팅을 실현시켜 드립니다.













